2020年12月19日,bat365正版唯一官网张英教授团队联合Emory大学叶克强教授,在医学-内分泌与代谢领域TOP期刊Molecular Metabolism(1区,IF5=7.118)在线发表了题为“Crosstalk between the muscular estrogen receptor α and BDNF/TrkB signaling alleviates metabolic syndrome via 7,8-dihydroxyflavone in female mice”的研究论文。该研究首次揭示了7,8-DHF在保护女性下丘脑-垂体-卵巢生殖轴功能和激活组织特异性ERα方面的新作用,及 7,8-DHF作用下骨骼肌ERα和BDNF/TrkB信号串扰调控骨骼肌能量代谢的关键作用及机制。加深了对7,8-DHF在改善代谢综合征中表现出的性别差异的认识,为女性代谢紊乱相关疾病的防治(尤其是绝经后女性)提供了新的思路和方法。

研究背景:
7,8-二羟基黄酮(7,8-dihydroxyflavone,7,8-DHF)作为自然界中天然存在的一种较为罕见的黄酮类化合物,可作为原肌球蛋白受体激酶 B(TrkB)的特异性小分子激动剂,能模拟脑源性神经营养因子(BDNF)的功能,进一步激活 TrkB 下游的信号通路。2015年叶克强等研究发现7,8-DHF可通过激活骨骼肌TrkB缓解雌鼠因高脂饮食诱导的肥胖,并呈现出显著的性别差异。然而,这种性别差异的潜在分子作用机制尚不清楚。此外,大量研究揭示雌激素和雌激素受体在机体代谢调控中起着重要作用。绝经后的女性,骨骼肌雌激素受体ERα功能受损,更易患代谢综合征(MetS)。因此,本研究旨在探讨骨骼肌ERα是否参与了7,8-DHF对雌性MetS的调控,以揭示7,8-DHF性别差异性调控MetS的潜在分子机制。
研究方法:
研究人员采用8周龄C57BL/6J雌性小鼠(72只),分别给予10%低脂和60%高脂饲料喂养,同时给予溶剂对照或低、中、高三种不同剂量7,8-DHF灌胃,时间长达半年,期间对小鼠体重、摄食量,以及发情周期进行密切监测。之后,对下丘脑-垂体-卵巢(hypothalamic-pituitary-ovarian, HPO)轴的功能进行了评估,检测了有代表性的血清性激素以及卵巢储备相关激素水平,采用病理连续切片方法评估卵巢储备情况。此外,对代谢综合征的各项指标也进行了检测,包括体重、体脂分布及含量(内脏脂肪、皮下脂肪)、脂代谢、葡萄糖/胰岛素耐受、骨密度、空腹血糖/血胰岛素含量以及前炎症细胞因子等。同时检测骨骼肌及白色脂肪组织中ERα及能量代谢相关信号分子基因及蛋白水平的表达。体外实验采用几种化学抑制剂和慢病毒短发夹RNA转染敲除策略,在分化的C2C12肌管中验证了参与ERα和BDNF/TrkB信号通路串扰的分子机制。

重要结果:
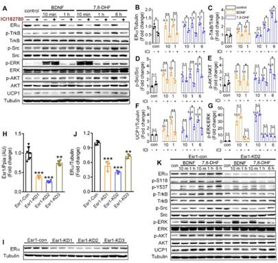
结果发现,长期7,8-DHF干预对雌鼠HPO轴功能有显著的保护作用,可延缓卵巢衰竭和提前绝经,并维持内分泌相关性激素水平稳定。并且,小鼠因高脂饮食或生殖轴内分泌紊乱导致的代谢综合征各项指标均得到有效改善。7,8-DHF干预能够显著上调骨骼肌中ERα 基因和蛋白水平的表达,增加解偶联蛋白1(UCP1)蛋白表达水平,并同时激活骨骼肌中BDNF/TrkB及下游能量代谢相关信号通路。7,8-DHF对ERα在丝氨酸118(S118)和酪氨酸537(Y537)的反式激活是BDNF/TrkB信号级联激活的关键。反过来,BDNF/TrkB信号级联的激活也是ERα在两个磷酸化位点激活所必需的,尤其是在Y537磷酸化位点;并且发现,Src蛋白激酶家族在ERα和BDNF/TrkB信号串扰中起核心作用,协同激活与能量代谢相关的信号通路。综上,7,8-DHF可通过保护雌性生殖轴功能,以维持性激素相关内分泌稳态,并通过骨骼肌雌激素受体ERα和BDNF/TrkB信号串扰共同作用于对雌性代谢综合征的改善。

该论文第一作者为bat365正版唯一官网食品科学专业在读博士研究生赵镇雷,通讯作者为bat365正版唯一官网张英教授和美国Emory大学叶克强教授,浙江大学为第一署名单位。项目部分工作得到广东省重点研发计划的资助。
原文链接:https://doi.org/10.1016/j.molmet.2020.101149
生物系统工程与食品科学学院
2020年12月25日
